Hial-Jump오가노플로라

혁신적인 동물용 관절주사제

반려동물 건강의 새로운 기준

반려동물의 활기찬 삶을 되찾아주는 전문 관절 치료 솔루션. 수의학적으로 검증된 효과와 안전성으로 반려동물의 관절 건강을 책임집니다.


관절 건강 문제, 왜 중요한가?

반려동물의 관절 질환은 단순한 노화 현상이 아닙니다. 조기 발견과 적극적인 치료가 반려동물의 삶의 질을 결정합니다.

20%

관절 질환 경험

국내외 수의학 연구 결과

3배

활동성 증가

조기 치료 시 개선 효과

통증과 염증

관절염으로 인한 만성 통증은 반려동물의 일상 활동을 제한하고 많은 스트레스를 유발합니다.

불안 스트레스

통증으로 인하여 활동량이 현저히 줄어들고, 과거처럼 즐겁게 놀지 못하면서 무기력해질 수 있습니다.

장기적 건강

조기 치료와 관리로 장기적인 관절의 건강 유지가 가능합니다.


동물용 관절주사제 히알점프(Hial-Jump)

관절 내 직접 투여하는 혁신적인 치료법으로, 경구 투여 방식보다 관절강 내로 투여하여 즉각적인 관절윤활, 통증저감 및 보행개선 효과를 제공합니다. 수의학적 전문성을 바탕으로 연구개발 및 임상시험을 통하여 개발한 프리미엄 솔루션입니다.

01

직접 관절 내 주사

환부에 직접 작용하여 통증 완화 및 연골의 보호 효과를 즉각적으로 제공합니다

안전한 성분

생체 유래 성분을 사용한 안전한 성분을 이용한 제제

임상 검증 완료

임상시험대행기관에서 실시한 임상시험을 통해 관절손상, 재생 및 염증완화 효과가 입증되었습니다.

02

빠른 효과

경구 영양제 및 약물 대비 빠른 통증 완화와 높은 치료 만족도를 보입니다

간편한 시술

시술 후 즉각개선 효과

안전성 보장

'히알점프' 주사제는 국제기준의 안전성이 검증(ISO 10993)되었으므로, 부작용 발생률이 거의 없습니다.

03

다양한 성분 조합

비스테로이드성 소염제 등 검증된 성분으로 맞춤 치료가 가능합니다

맞춤형 시술

기존 주사제 성분과의 시너지 효과

프리미엄 품질

엄격한 품질 관리 시스템(ISO 13485)을 통해 제조되어 반려동물 모두에게 안전한 사용을 최우선으로 하고 있습니다.

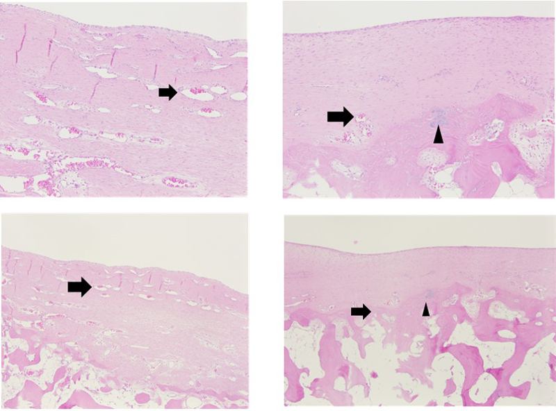
임상 데이터 기반 관절손상(Modified ICRS Score), 관절재생(Glassen Score) 및 염증완화 항목에서 유의미한 개선이 확인되었습니다.


히알점프 사용법

주사침 체결 및 관절 주사 방법
주사침 체결
시술(주사) 방법

주의사항 : 사용설명서를 참조하세요.